当院の紹介記事
清水整形外科医院
  
東京都世田谷区奥沢5-14-11
TEL
03-5701-2801

医師たちが選んだ
プラセンタ療法


体にやさしいが、しっかり効く胎盤パワーの秘密
画像は痛みの本体を示さない。
手術前にトリガーポイント注射を試す価値はある
 
手術せずにいかにして治すかを考えたとき、そこにプラセンタがあった

「清水整形外科醫院」は、東京都世田谷区にある、診療科目は整形外科、理学診療科(リハビリテーション)、皮膚科、内科(漢方薬)だ。
清水先生は、1979年に昭和大学医学部を卒業、同大学整形外科教室に入局している。東京共済病院整形外科、日本鋼管病院整形外科、社会保険相模野病院整形外科部長を経て、1991年に同院を開院している。
 同院では、皮下・筋肉注射のプラセンタ注射以外に、プラセンタのトリガーポイント注射、漢方薬、テーピングなども治療に活用している。

「整形外科と頭に"外科"がついていますが、開業すると手術はしません。手術せずにいかにして治すか・・・。ここが開業整形外科医の勝負どころです。
 疼痛やしびれなどの主訴を改善するには注射、鍼、テーピング、漢方薬、民間療法など、副作用がなく効果があれば何でも試していきます。西洋医学、東洋医学も問いません。そこにプラセンタがあったということです」
 現在のところ、治療では毎日80アンプルほどを使用している。自分でも10年間毎日、3アンプルのプラセンタ注射(ラエンネック)をみずからおこなっている。
「とくに悪いところがあるわけではありませんが、しないと損する気がします。何かの予防になるのではないかという思いもあります」
 その清水先生とプラセンタとの出会いは、現在から15年ほど昔になる。
 当時の先生は、プラセンタの名前こを知っていたが、いかがわしい民間療法と決めつけて手を出さなかった。その先生がプラセンタ療法を導入したきっかけは、顔面神経マヒの患者さんだった。
「ある日、友人が、有名な大学暴飲をいくつも回って直らない顔面神経マヒの患者さんを連れてきました。『大学病院で治せないのに無理』と断ったのですが、どうしてもというのでプラセンタと漢方薬を併用すると、完治しました。偶然かと思いましたが、他の病気にも使用したところ改善していったのです」
先生がプラセンタ療法を取り入れるようになった契機は、効果を狙ったものではなかった。だから、先の「そこにプラセンタがあった」という表現になるのだろう。

"病気の入り口"を間違えると、治る痛みも治らない

 整形外科に限らず、開業医院には駅に看板を出しているところが多い。
 同院はネットで告知はおこなっているが、駅看板も設置していない。口コミで来院する患者さんが多く、とくに他医院で「手術しかありません」といわれ、「手術だけは絶対に嫌」と来院する患者さん、手術後に痛みが残っている患者さん、何年も治療を続けているのによくならない患者さんなどが多い。
 そうした患者さんに対し、先生は"病気の入り口"から説明する。
「年齢はバラバラですが、腰痛、とくに脊柱管狭窄症、椎間板ヘルニアの患者さんが多いです。だいたい他院で診断された結果を鵜呑みにして、漫然と治療を受けているケースが多い。病気の入り口が異なるので、そこから説明していきます」
 整形外科系の"病気の入り口"は、画像診断になる。画像診断の結果に基づいてさまざまな病名がつけられ、治療が始まる。
「腰痛の場合、レントゲンかMRIを撮り、幅が狭いとか軟骨の異常から治療に入ります。しかし、80〜90%はそこが原因ではなく、本当の原因は長年の日常の生活習慣による筋肉の硬結です。それが、押すと痛いトリガーポイント(圧痛点)となって出てきます。
 画像診断は骨や軟骨ばかり見て、痛みの本体を見ません。それが"入り口の間違い"です。メスを握っていた時代、私もこの間違いを犯していました。その間違いを、患者さんが教えてくれました」
 他院で「脊柱管狭窄症で手術が必要」と診断された患者さんが、同院では手術なしにプラセンタ療法で治っていく。これは、本当の脊柱管狭窄症ではなかったことの証明になる。
 また、脊柱管狭窄症といわれて手術を受けたものの、痛みが改善されない患者さんも来院する。手術は画像診断の結果に基づいた治療であり、その手術で治らないのはおかしい。こうした患者さんも、本当の脊柱管狭窄症ではなかったケースになる。
 先にも少し触れたが、先生は、漢方もテーピングも使っている。症状がひどいときは、最初に痛み止めとしてステロイドのトリガーポイント注射をする。
「プラセンタだけでは無理な患者さんもいますので、最初からプラセンタと漢方とテーピングの三つを一緒におこなうケースが多いです。これで治らない人は1年に1〜2人いるかいないかです。それが本当の脊柱管狭窄症で、手術しないと治りません。そうした場合、私は『病院で手術を受けてください』といいます」
 先生のプラセンタ療法の対象は、やはり整形外科的なもの(脊柱管狭窄症、変形性膝関節症、頚肩腕症候群、肩関節周囲炎、関節リウマチなど)が多い。ギックリ腰にはプラセンタ療法はおこなわず、テーピングだけにしている。
患者さんの訴えや希望により、プラセンタ療法はそれ以外の分野でも活用されている。

●皮膚科的なもの・・・アトピー性皮膚炎、乾癬、手あれ、脱毛など
●精神的なもの・・・うつ病など
●婦人科的なもの・・・月経困難症、更年期症候群、生理不順など
●耳鼻科的なもの・・・めまい、臭覚障害、耳鳴りなど

 これらに対し、先生は次のような治療をおこなう。
 整形外科的な痛み、しびれを訴える場合にはプラセンタのトリガーポイント(圧痛点)注射。その他の場合は肩、あるいはお尻など、患者さんがなるべく痛くないところに皮下注射か筋肉注射をおこなっている。
 標準的治療スタイルとして、1回2アンプルのプラセンタ注射薬(メルスモンラエンネック)を週1〜2注射、当然だた、症状によって頻度や使用アンプル数は随時変更する。
先生の症例は数多い。次に、そのなかから整形外科的な典型的症例を紹介する。

 症例1 脊柱管狭窄症(女性72歳)
 この患者さんは他院で脊柱管狭窄症と診断され、手術を勧められていた。
「絶対に手術したくないと、友人の紹介で来院しています。初診時は左坐骨神経痛がひどく、歩行が困難でした。抱えられて来院しまhしたが、持参したMRI画像では脊柱管の狭さくが明らかでした」
治療は左臀筋にプラセンタ2アンプルをトリガーポイント注射している。臀部に痛み止めのテーピングもほどこす。
「車で1時間かかる遠方からの来院のため、週に1〜2回しか来院できませんでした。3ヵ月経過したところで歩行もできるようになり、11ヵ月経過した頃には歩行も正常になっています。まだ少し痛みはあるようですが、日常生活に支障ありません。旅行も楽しめるようになり、プラセンタが『絶対に手術はしたくない』という治療の助けになりました」
 症例2  脊柱管狭窄症(男性、74歳)
この患者さんは50〜100メートルで間欠性跛行があり、しゃがまないと歩けないほどだった。他院で撮ったMRIで狭窄症と診断され、手術が必要といわれていた。神経ブロック、鍼治療などの治療を受けていたが、まったく改善は見られなかった。
「来院時には両側坐骨神経痛と左下腿痛がひどく、歩行障害もありました。両側大臀筋、少臀筋にプラセンタのトリガーポイント注射をおこないました」間欠性跛行が改善するには3年を要したが、7年経過した現在では坐骨神経痛はない。ダンスもでき、間欠性跛行はまったくなく過ごせるようになっている。
「症状が改善するまで3年かかりましたが、長期にわたる治療は『絶対に手術したくない』という患者さんの根気がなければ続かないものです」

 症例3 変形性股関節症(女性79歳)
 この患者さんは、左変形性股関節症で、左股関節痛があった。3ヵ所の整形外科で手術を勧められていたが、手術が嫌で来院している。
「初診時、左股関節痛のためひどい跛行がありました。階段の昇り降りにも手すりが必要でした。レントゲンで大腿骨骨頭に膿腫があり、関節裂隙の狭小化も認められました。左小臀筋、中臀筋にプラセンタのトリガーポイント注射(1回2アンプル/週1回)をおこないました」
3ヵ月後くらいからジョジョに歩行時痛が改善され、杖なしで歩行可能になる。現在は毎日歩きすぎると股関節痛がときどきあるものの、湿布だけで軽快しているのでプラセンタ注射はおこなっていない。

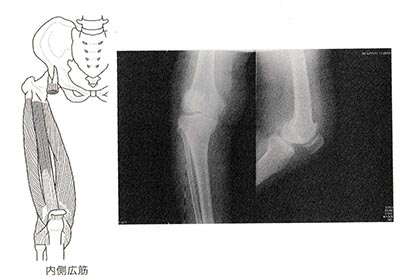
 症例4 変形性膝関節症(女性56歳)
 この患者さんは歩行時痛と階段の昇り降り時に痛みがあり、正座ができなかった。
自宅近くの医院で週1回のヒアルロン酸の関節内注射のほか、膝に低周波、マッサージなどの治療を受けていた。そうした治療を1年近く続けたものの効果がなく、来院している。
「関節内水腫はなく、レントゲンで内側関節裂隙の狭小化を認め、変形性膝関節症と診断がつきました。内側広筋にプラセンタ2アンプルをトリガーポイント注射し、膝のテーピングも併用しました。同時に漢方薬の防巳黄耆湯も処方しました」
2ヵ月の治療で歩行時痛が取れたが、階段を降りるときの膝痛がまだ改善しなかったため、プラセンタによる治療を継続している。

 ■「手術を」といわれたら、トリガーポイント注射を試す価値はある

整形外科を受診すると、神経ブロックや手術を勧められたりする。しかし、先生は「その前に、プラセンタのトリガーポイント注射を試す価値がある」という。
「お尻の筋肉は大臀筋、小臀筋、中臀筋があり、脊柱管狭窄症では大臀筋と小臀筋の混合タイプが多くあります。その2ヵ所にプラセンタによるトリガーポイント注射をすると、長年悩んでいた坐骨神経痛が一気に改善されます」
では、変形性股関節症はどうか。
「変形性股関節症は、生まれつきの股関節脱臼や外傷などが原因で股関節の関節が狭くなり、股関節痛を起こす病気です。ただし、40%は中臀筋、小臀筋の筋肉の硬結が原因になることもあります」
その"40%"の理由として、長時間の座り仕事や立ち仕事、長時間の歩行、長時間の車の運転などを挙げる。
これらが臀部に筋肉の硬結を生じ、股関節前面に関連疼痛としてあらわれることになるのだ。
「股関節が変形しているからとすぐ手術することはなく、まずは中臀筋、小臀筋にプラセンタのトリガーポイント注射をし、それでも痛みが改善しなければ手術という選択も考えたほうが良いと思われます」
変形性膝関節症も、事情は変わらない。
「変形性膝関節症は加齢によって膝軟骨磨り減り、関節裂隙が狭くなる病気です。ただし、1週間以内、あるいは1〜3ヵ月以内に膝を過度に使ったことによる内側広筋の硬結が原因になることもあります。内側広筋へのプラセンタのトリガーポイント注射で膝関節通が短期間で軽くなることもよくあります」
手術が必要といわれた方、手術hしても痛みが消えない方、長年の治療でも効果が出ない方は少なくないだろう。
こうした方はまず、"病気の入り口"を再検討してみてはどうだろうか。
その再建党は同時に、あなたの"痛みを解消する入り口"でもある。そして、プラセンタのトリガーポイント注射は、その痛みの解消の有力な手段になってくれる。

(本誌P164〜 抜粋)

 
Copyright(c) Shimizu Medical Clinic. All Rights Reserved.